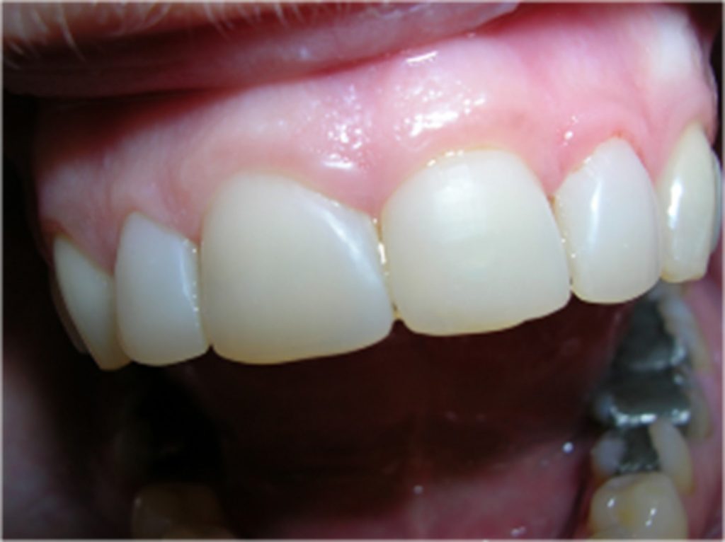
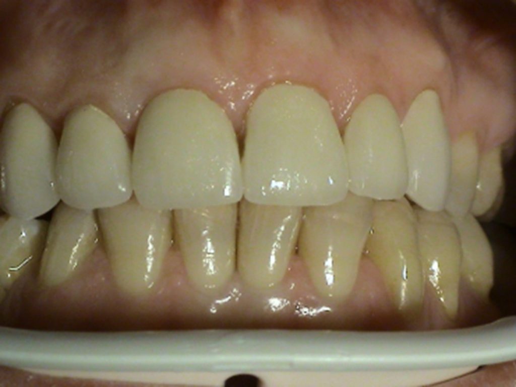
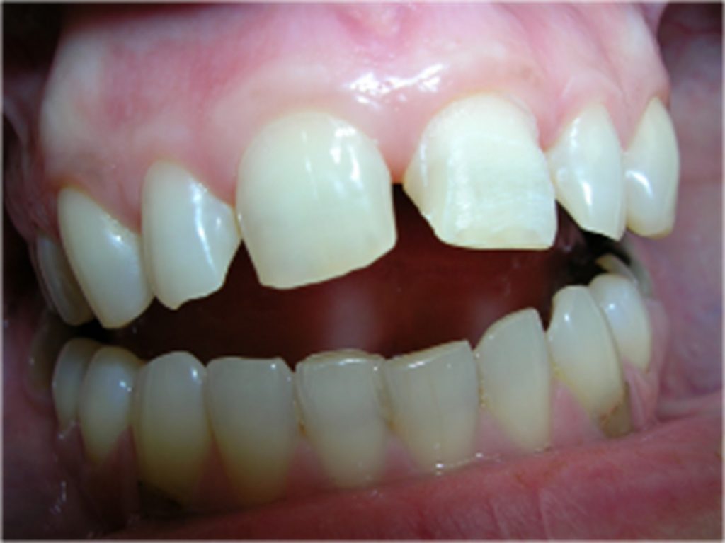
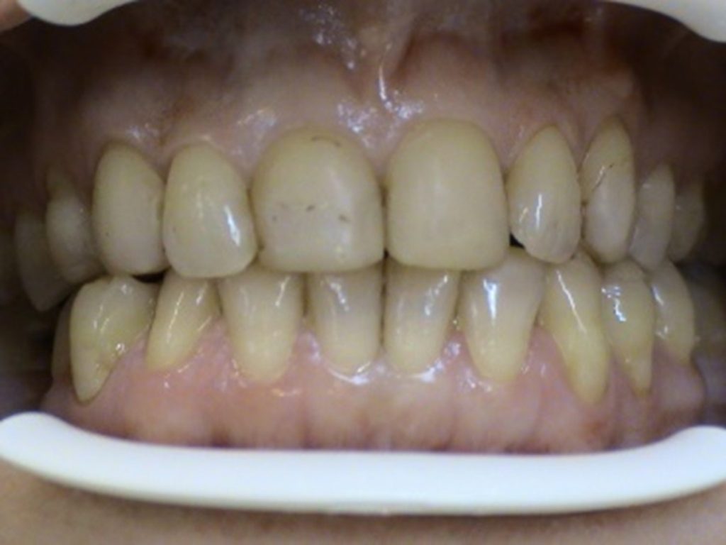
- Correction of position, shape, color and reconstruction of teeth
- Dental splinting
- Teeth whitening
Correction of tooth position, shape, color or tooth reconstruction after trauma using photo-composite materials or stomatoprosthetic solutions:
– all-ceramic veneers – correction of front
tooth surfaces,
– all-ceramic highly aesthetic
crowns milled using CAD/CAM technology,
– fabrication
of
all-ceramic inlays, onlays and overlays
Composite reconstructions
Reconstructions with ceramic veneers
Immediate replacement of missing teeth by direct modeling using composites in combination with glass fibers or indirect laboratory fabrication.

Composite splints

Adhesive bridges
Home – Opalescence tooth whitening systems
In-office – WHITEsmile