- Metal, metal-ceramic, nickel-free crowns and bridges
- Metal-free ceramics, zirconia ceramics
- CAD – CAM and 3D printed fixed prostheses
- Combined metal-resin and resin partial and total prostheses
- Immediate prostheses, fixed and removable
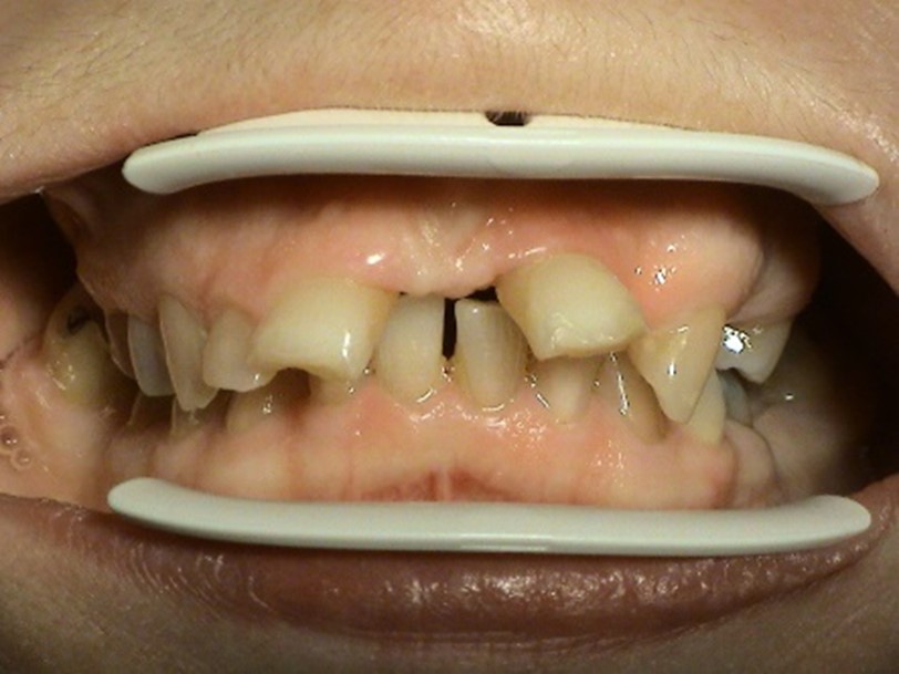
Of destroyed bites, conditions after orthodontic treatment, dentition damaged by periodontitis, post-traumatic conditions, post-operative conditions after oncological treatment (obturators, epitheses), developmental defects, treatment of temporomandibular joint diseases.
Destroyed bite
Maxillofacial orthopedic defects
Post-oncological conditions
A partially removable prosthesis is usually combined with a metal
structure.
In case of a significant absence of molars, a
combination of fixed and removable prostheses is applied.
The front teeth are treated with fixed prostheses on which retentions for fixing the removable prosthesis (Ceka, ot-cap, preci…), which are thus not visible from the outside.
Complete removable prostheses are made for cases where there are no teeth present in the maxilla or mandible. For fixation, the valve effect of the mucous membrane, capillary pressure, effect of pressing by chewing and gravity are used. Most often it is made of plastic and consists of a base plate, artificial gums and artificial teeth.
Metal, metal-ceramic, nickel-free crowns and bridges, metal-free ceramics, zirconia ceramics.

Composite splints

Adhesive bridges
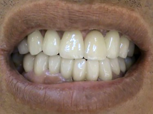
The tooth is covered with a metal crown, which can be made of gold, metal without Ni content or other substances. A metal cover is made for the grounded tooth and then covered with an aesthetic layer – ceramics. The production of such a metal shell from precious metal or general metal is in accordance with the strictest standards of biocompatibility and aesthetics. Crowns are stable and long-lasting; the ceramic crown cover is color-stable and offers a high aesthetic value.
Depending on the distribution of the remaining teeth, dentists have
various options for solving present defects. Bridges represent
dental replacements that fix dental replacements to adjacent
remaining teeth.
Crowns with a ceramic cover usually have a metal
construction. It can be made from precious metals (which are the
most perfect) or from substitute metals. The ceramic cover covers
the metal construction, thus it is highly aesthetic. The metal
construction gives the bridge strength, stability and long
life.
A thin ceramic shell allowing minimal damage to teeth is primarily used on front teeth. It is completely metal-free, has a long-lasting and currently most aesthetic prosthetic effect. It can be successfully applied to discolored teeth.

