- Gentle and painless treatment of dental caries and dental lesions
- Root canal treatment
Gentle and painless treatment of dental caries and dental lesions using the most modern techniques and materials from renowned companies with emphasis on aesthetics and functional tooth restoration.
We produce photocomposite, ceramic (inlay, onlay) and amalgam fillings of the latest generations.
When removing old amalgam fillings, we follow all safety instructions to absolutely eliminate risks for the patient and treatment staff.
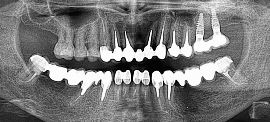
As part of endodontic therapy, we treat root canals using a combination of manual and machine techniques according to the latest research, while the quality of our work is incomparably enhanced by the use of a microscope. By investing in high-quality devices and instruments, we guarantee high success rates of endodontic treatment.
We perform post-endodontic therapy according to indication by reinforcing the endodontically treated tooth with a glass fiber post (fiber post) or a laboratory-made metal post.



Root canal treatment (also called endodontics) is necessary when the blood and nerve supply of the tooth (known as the pulp) is infected by decay or injury. You may not feel pain in the early stages of infection.
– spontaneous pain or throbbing when biting,
– sensitivity to hot and cold,
–
severe decay or injury that creates an abscess (infection) in
the bone
– darkening of the tooth
(probability that
the tooth nerve has died or is dying)
In some cases where the tooth darkens, we can conclude that the tooth nerve has died (or is dying). In this situation, root canal treatment is necessary. If the dental pulp becomes infected, the infection can spread through the root canal system of the tooth to the surrounding bone and eventually lead to an abscess.
An abscess is an inflamed area where pus collects, causing later swelling of the tissues around the tooth. Abscess symptoms can range from a dull ache to severe pain, and the tooth may be sensitive when biting.
If root canal treatment is not performed, the infection will spread and extraction will be required. Root canal treatment, or endodontics, cleans the infected pulp chamber and treats the damage. In this way, it is possible to save the tooth.