- Application of intraosseous implants
- Provisional implants
- Root canal treatment
– Application of intraosseous implants from companies:Tiolox, Tiologic, Nobel, Astra, Martikáň, Vni, Blade Implants
–
immediate and delayed implantation and post-implant prosthetic
treatment/ Hyperbaric chamber/navigated implantology
– "teeth in one day"- "all in one" – implantation and
provisional prosthetics during one day
– "all on four"
"all on six" – implant solution concept for complete
tooth loss of upper or lower jaw supported by four or six
implants
– all types of augmentation procedures
on hard and soft tissues aimed at preparing the implant
region
– sinus lift operations of various
types
– mini-implants – application in orthodontic
indications
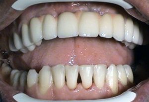
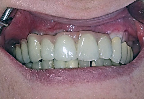
Enables patients to replace the loss of one, several or all teeth with dental implants. A dental implant inserted into the bone of the upper and lower jaw is an artificial replacement of the entire tooth and root. This support inserted into the bone provides high retention and stability of the future prosthesis.
Dental implants usually have a cylindrical or slightly conical shape. Most of them are made of titanium with various surface treatments for better and faster healing. After its integration (so-called osteointegration), which takes approximately 3 – 4 months, the treatment is completed with final prosthetic therapy. The final treatment should be not only functional, but also aesthetic.
Implantation requires sufficient quantity and quality of bone. In case of its significant absence, one of the possible methods is its reconstruction. For this purpose, not only the patient's own bone, but also artificial bone (augmentation) is used. The surgeon also performs operations of maxillary sinus membrane elevation – sinus lift.
The basis of success is perfect diagnostics – overall patient examination. This includes assessment of bone density and volume of the jaw before the actual implantation. It is also important to plan the entire operation and provide the patient with all information!
– stability and fixation of the replacement (with an appropriate number
of
implants)
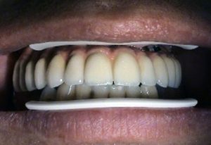
– positive aesthetic effect on facial expression,
charming
and new smile provides better quality of life and restoration of
self-confidence not only
in private life, but also on social and professional level
–
stable dentition has a positive effect on pronunciation, taste
perception, chewing
and digestion

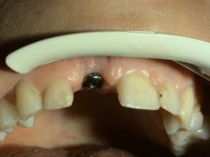
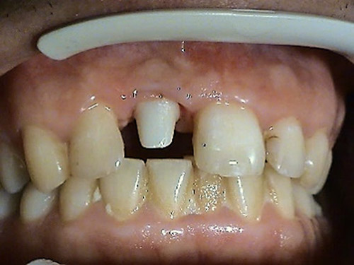
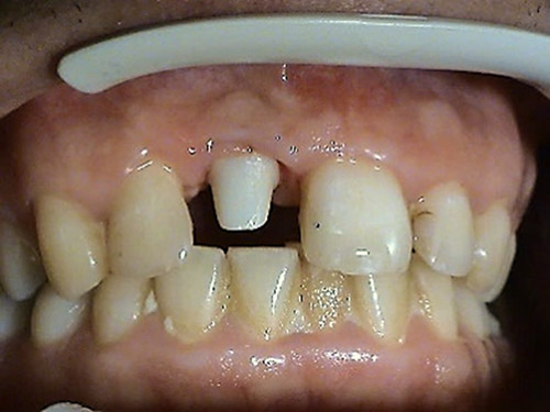
1. PHASE – implant insertion

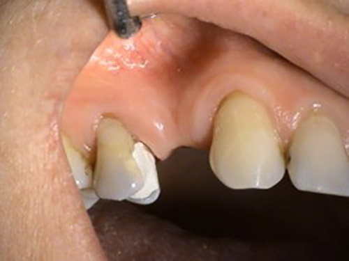
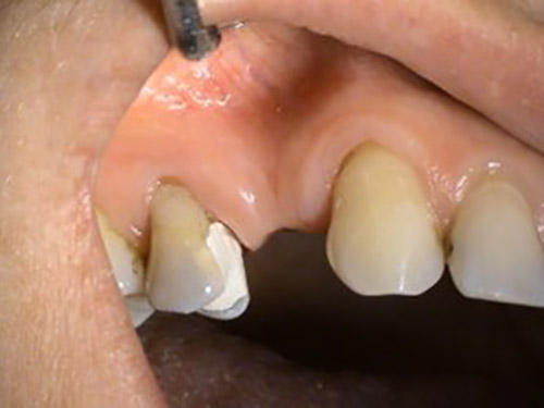
2. PHASE – state before making immediate impressions

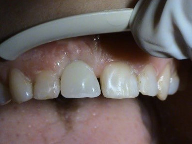
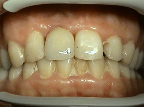
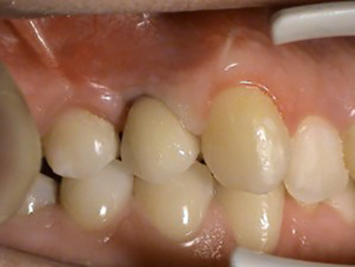
3. PHASE – prosthetic fabrication of temporary crown on implant

3. PHASE – fabrication of temporary solution

























